This gentleman had a porcelain veneer on his front tooth that was chipped, and no longer matched the rest of…
LEARN MORE
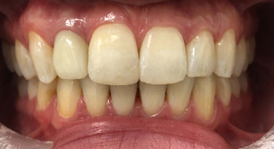
For this lady we straightened her teeth with Invisalign, whitenined them, then replaced the porcelain veneer she had, to ensure…
LEARN MOREHonestly the best dentist in the world, lovely owners, professional and warm staff. I used to have a fear of dentists until I started coming here- it’s defo the place to go to if you used to be scared like me! I can say hand on heart, That fear is now gone and I actually look forward to my appointments!...
This is an excellent dental practice that I've been recommending to my coworkers for awhile. The staff is friendly and professional. The sisters who run the practice are thorough not just with the examinations and cleaning, but also make sure to give me personalized and practical advice for at-home care. They make it as pleasant as a trip to the...
I enquired about a chipped tooth issue and was seen within 24 hours of making the enquiry. Treatment options were clearly explained and discussed, in what is a very professional setting just off Shad Thames. I appreciate the fact that costs were also discussed before making the appointment, which meant that there were no surprises on the day. Overall, very...
After years of not going to the dentist, I was dreading my visit. Very welcoming practice. Dr Li kept me informed of my treatment plan and explained clearly what was needed and why. Very reassuring and professional. I've never had to wait for my appointments as well, which is very appreciated on a tight schedule.
I visited Londent and had an initial consultation with Dr Panayiotis Kaimakamis (Periodontist). What an absolute dream he was from start to finish. I was quite anxious regarding some rather complex periodontal surgery I needed ASAP and his customer care, subject matter expertise and surgical skills in my humble opinion remain unmatched. I recommend both this clinic and Dr Pano...

Our incredible team will make your visits as easy and as comfortable as possible, and your health and happiness will always be our number one priority.